GENERAL• SURGICAL•IMPLANT•SEDATION
Top Dentist in Portland, OR
Top-Rated Dentist in Portland, OR for Healthy Smiles
Looking to upgrade your dental experience? You're in the right place!
We are located at 4732 NW Bethany Blvd, Ste. G2 Portland, OR 97229
CALL NOW FOR A CONSULT
Call now or fill out form to request an appointment.
We respect your privacy. We store personal data securely and will not share your details with any 3rd party.
5.0
Staff was very friendly. The hygienists and doctor were extremely knowledgeable and detailed. This was my first visit and I already know I've got found my dental home!!!! Thank you all for your kindness!
- Susan C.
So, What Makes Bethany Family Dental So Great?
We’re glad you asked! Choosing a dentist is a really important decision!
Friendly Staff: Our team genuinely cares about our patients!
Relaxing: Our spa-like environment will put you at ease from the minute you walk in.
Education-Based Care: We help our patients understand their individual needs and work to choose the best treatment for you!
One-Stop Shop: From restorative care to cleanings, and everything in between! Get all of the dental care you need, right here in our office.
OFFICE HOURS
Tues: 8:00am – 5:00pm
Wed: 8:00am – 5:00pm
Thurs: 9:00am – 6:00pm
Fri: 8:00am – 1:00pm
Sat - Sun: Closed
REVIEW
Financial Information
For your benefit we offer several payment and financing options at Bethany Family Dental, P.C.. As a courtesy to you, we are happy to bill your insurance for you. We accept all insurance plans and our experienced staff will gladly assist you in obtaining the maximum benefits your plan provides.
In addition to insurance benefits, we accept the following credit cards: Visa, MasterCard, American Express and Discover card. Long-term financing with low-interest rates is also available through Care Credit financing.
Meet Dr. Austria
Bethany Family Dental, PC was the first dental practice established in the Bethany area by Dr. Austria in 1999. He was particularly attracted to the neighborhood feel, the friendliness, and the active lifestyles of the people. Dr. Austria greatly appreciates the patient relationships he has developed over the years and is truly honored by the opportunity in treating their dental needs.
Dr. Austria has been providing general and specialty procedures for over 25 years with extensive post-graduate training and is certified to perform various types of specialized procedures. He maintains an additional level of anesthesia permit to perform intravenous sedation, a procedure performed routinely in his office for patients that require it and a nice option for longer procedures.

Meet Dr. Holden
Our Comprehensive Dental Services
DENTAL EMERGENCIES
CLEANING & PREVENTION
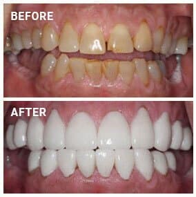
COSMETIC DENTISTRY
DENTAL IMPLANTS
DENTURES
LASER TREATMENT
ORAL SURGERY
PERIODONTAL SURGERY
ROOT CANAL / ENDODONTICS
SEDATION DENTISTRY
INVISALIGN

