April 23, 2026
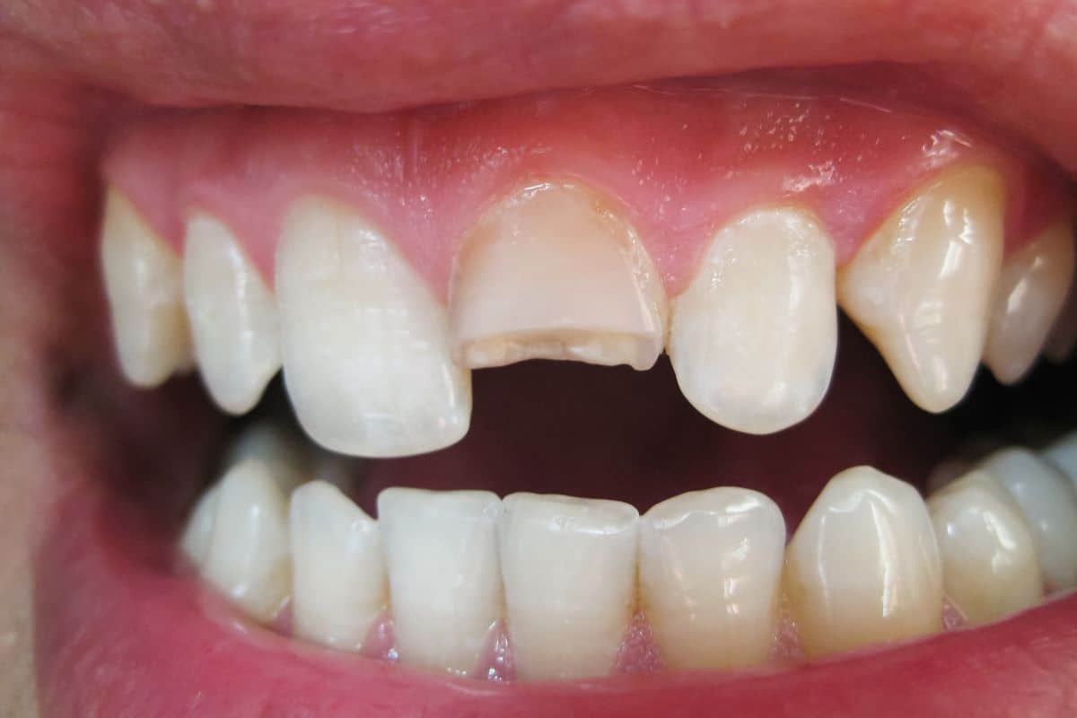
Chipped teeth can happen unexpectedly, whether you’re enjoying a meal, playing sports, or just going about your day. It can change how your teeth look and feel, which can be uncomfortable or upsetting. Many people are looking for quick solutions to improve their smile without multiple trips to the dentist.
Our vibrant city is renowned for its tasty food, whether at the Saturday Market or in the cozy coffee shops of the Pearl District. That is why a chipped tooth can really throw off your daily comfort. Luckily, today’s advanced dental treatments can often fix chipped teeth in just one visit. The important part is knowing what factors help determine if you can get this quick, same-day care.
What Determines If a Chipped Tooth Can Be Fixed in One Visit?
Not every chipped tooth requires complex treatment. The extent of the damage plays a major role in how quickly it can be repaired. Small chips that affect only the outer enamel are often the easiest to fix. These cases usually allow quick reshaping or restoration in a single appointment.
Moderate chips may involve deeper layers but still remain suitable for same-day solutions, depending on the structure of the tooth. Severe damage, especially when it affects the nerve or causes structural weakness, may require more than one visit. A cosmetic dentist evaluates the tooth, checks bite alignment, and recommends the most effective approach based on your needs.
Can a Cosmetic Dental Professional Fix It in One Visit?
Yes, in many cases, a chipped tooth can be restored during a single appointment. The process depends on the condition of the tooth and the treatment selected. Same-day treatments focus on restoring shape, function, and appearance without long waiting periods. The goal is to make the repair blend naturally with the surrounding teeth. On rainy afternoons common in the Pacific Northwest, many patients prefer quick treatments that fit into busy indoor schedules without multiple follow-ups.
What Treatment Options Are Available for Chipped Teeth?
When it comes to repairing a chipped tooth, the right method depends on how much structure is lost.
Dental Bonding
Bonding uses a tooth-colored material to rebuild the chipped area. The material is formed directly on the tooth and cured with a special light. This option works well for minor to moderate chips and often completes in one visit.
Dental Veneers
Veneers are thin shells placed on the front of the tooth. They improve shape, size, and color while covering imperfections. Some cases may require more than one visit, depending on preparation and customization.
Dental Crowns
Crowns cover the entire tooth when damage is more extensive. They restore strength and protect the remaining structure. Certain crown procedures may involve multiple steps based on the treatment plan. These treatments fall under cosmetic dentistry, focusing on both function and visual balance.
Why Quick Treatment Matters for a Chipped Tooth?
Delaying treatment can lead to more than just aesthetic concerns. A chipped tooth can worsen over time if left untreated. Here is why early care is important:
- Prevents further cracking or structural damage
- Reduces sensitivity caused by exposed inner layers
- Helps maintain proper bite alignment
- Protects the tooth from decay or infection
- Restores confidence in everyday interactions
For those who enjoy crunchy foods from local food trucks or seasonal treats during the Rose Festival, even a small chip can quickly become uncomfortable.
What Happens During a Same-Day Repair?
Understanding the process helps set clear expectations before treatment.
- Step 1: Examination: The dental professional checks the tooth, surrounding tissues, and bite alignment.
- Step 2: Preparation: The surface is cleaned and prepared to ensure proper bonding or placement.
- Step 3: Restoration: Material is applied, shaped, and adjusted to match natural contours.
- Step 4: Finishing: The tooth is polished to blend with the surrounding teeth.
This streamlined approach allows many patients to leave with a restored smile in just one visit.
Is One Visit Always Enough?
Not every chipped tooth can be treated in a single visit. Some situations require additional planning. However, there are some cases that may need more time. Here are the situations when one visit is not enough:
- Deep fractures involving the inner tooth layers
- Bite issues that require adjustment
- Multiple damaged teeth needing coordinated care
- Structural concerns requiring added support
Even in these cases, initial care often provides temporary relief while planning long-term solutions.
How to Protect Your Teeth After Repair
Once a chipped tooth is restored, protecting it becomes essential for long-term results. Daily care tips:
- Avoid biting down on hard objects such as ice or pens.
- Use a mouthguard during sports
- Maintain regular brushing and flossing
- Schedule routine dental visits
These steps help maintain the integrity of the repaired tooth and prevent future damage.
When Should You Seek Immediate Care?
Certain symptoms signal the need for immediate attention.
- Sharp edges cause discomfort
- Pain when biting
- Sensitivity to temperature
- Visible damage affecting the appearance
Early evaluation helps prevent complications and keeps treatment simple.
Ready to Restore Your Smile With Confidence?
A chipped tooth does not always require multiple visits or complex procedures. Many situations can be resolved swiftly with the appropriate approach. Acting early helps protect your tooth and restore comfort without delay. If a chip has affected your smile or daily routine, it may be time to book an appointment and explore your options.
A Confident Smile Starts With the Right Care
Restoring a chipped tooth is about more than appearance. It can feel disruptive, but the right care can make a noticeable difference in a short time. Proper treatment improves comfort, function, and confidence in everyday life. Timely care helps prevent further damage and supports long-term oral health.
At Bethany Family Dental, our treatment focuses on restoring natural shape and balance with efficient solutions. If you are ready, visit our dental office to explore the right approach for your smile.
FAQs
1. Can a small chipped tooth repair itself without intervention?
A chipped tooth does not repair itself naturally. The damage remains unless treated. Minor chips may not cause pain, but they can worsen over time. Early care helps maintain structure and prevents further complications.
2. Is repairing a chipped tooth painful?
Most procedures involve minimal discomfort. Numbing agents may be used depending on the treatment. Many patients report little to no pain during bonding or similar procedures, making the experience manageable and straightforward.
3. Will the repaired tooth look natural?
Modern materials are designed to match the natural shade and texture of surrounding teeth. Proper shaping and polishing help the restoration blend seamlessly, making it difficult to notice any difference.
4. Can a chipped tooth affect bite alignment?
Yes, even a small chip can change how teeth come together. This may lead to uneven pressure or discomfort. Addressing the issue early helps maintain proper alignment and prevents additional wear.
5. How soon should treatment be done after a chip occurs?
Treatment should happen as soon as possible. Prompt care prevents further damage and reduces sensitivity. Delaying treatment may lead to more complex issues that require additional procedures.
6. Are certain foods risky after a repair?
Hard or sticky foods can place pressure on the repaired area. It is best to avoid these immediately after treatment. Gradual return to normal eating habits is usually possible with proper care.
Recent Posts
Can a Cosmetic Dentist Fix a Chipped Tooth in Just One Visit?
Can Gum Disease Really Make You Lose Your Teeth? What Portland Patients Should Know
Is a Bone Graft Necessary Before Your Dental Implant Procedure?

Can A Tooth Infection Turn Into A Full-Body Blood Infection?
